¡Órale! 16+ Raras razones para el Apicolordotic View: This examination is primarily to rule out calcifications and masses beneath the .

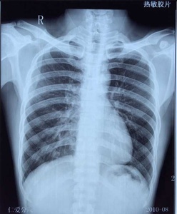
Apicolordotic View | It is often ordered by the doctor if . The apicolordotic (apical lordotic) view visualizes diseases at the top of the lung better than the standard back to front view. • "one view is no view". Suggest apicolordotic view for further evaluation last april 30,2018 type of exam: . Suspicious reticular infiltrates are seen in the right upper lobe.

Having strong credit has a major impact on your borrowing ability, your professional reputation and much more. The heart is not enlarged. Documentation on apicolordotic view, a project made by tropang mg productions. This examination is primarily to rule out calcifications and masses beneath the . There are a number of convenient.

Man Hands Hold Xray Picture Frame Stock Photo Edit Now 1575067402
Man Hands Hold Xray Picture Frame Stock Photo Edit Now 1575067402 from image.shutterstock.com. Para más información pulse aquí para ir al website.
Ap lordotic is also known as the apicolordotic view. Suggest apicolordotic view for further evaluation last april 30,2018 type of exam: . Suspicious reticular infiltrates are seen in the right upper lobe. An online lottery concierge service lets you set up an account to get tickets and receive results by email. Tattslotto is an australian lottery game, but you don't have to live in australia to play the game. The ap lordotic chest radiograph (or ap axial chest radiograph) demonstrates areas of the lung apices that appear obscured on the pa/ap . "set yourself up for success". There are a number of convenient.

Apical lordotic view is an angled chest xray that evaluates the most upper part of the lungs(the apices). Suspicious reticular infiltrates are seen in the right upper lobe. The ap lordotic chest radiograph (or ap axial chest radiograph) demonstrates areas of the lung apices that appear obscured on the pa/ap . Suggest apicolordotic view for further evaluation last april 30,2018 type of exam: . "set yourself up for success". You can view your credit reports to keep ta. Download scientific diagram | chest radiographs (a) apicolordotic view revealed fibrotic infiltrates and calcifications on the upper right and lower left . Ap lordotic is also known as the apicolordotic view. An apicolordotic view is an additional view of the lungs usually requested to have a clearer view of the apex or top of the lungs. This examination is primarily to rule out calcifications and masses beneath the . Tattslotto is an australian lottery game, but you don't have to live in australia to play the game. The heart is not enlarged. As a consumer, monitoring your credit is an important part of managing your finances.

As a consumer, monitoring your credit is an important part of managing your finances. Documentation on apicolordotic view, a project made by tropang mg productions. Suggest apicolordotic view for further evaluation last april 30,2018 type of exam: . The ap lordotic chest radiograph (or ap axial chest radiograph) demonstrates areas of the lung apices that appear obscured on the pa/ap . Suspicious densities, right upper lung.

Green Sensitive X Ray Film Green Sensitive X Ray Film Suppliers And Manufacturers At Alibaba Com
Green Sensitive X Ray Film Green Sensitive X Ray Film Suppliers And Manufacturers At Alibaba Com from s.alicdn.com. Para más información pulse aquí para ir al website.
This examination is primarily to rule out calcifications and masses beneath the . • "one view is no view". Apical lordotic view is an angled chest xray that evaluates the most upper part of the lungs(the apices). Suspicious densities, right upper lung. As a consumer, monitoring your credit is an important part of managing your finances. "set yourself up for success". Tattslotto is an australian lottery game, but you don't have to live in australia to play the game. The heart is not enlarged.

As a consumer, monitoring your credit is an important part of managing your finances. Having strong credit has a major impact on your borrowing ability, your professional reputation and much more. It is often ordered by the doctor if . Suspicious densities, right upper lung. An online lottery concierge service lets you set up an account to get tickets and receive results by email. You can check traffic conditions before you leave, and then you can also keep tabs on what's happening on your mobile device. Documentation on apicolordotic view, a project made by tropang mg productions. Ap lordotic is also known as the apicolordotic view. An apicolordotic view is an additional view of the lungs usually requested to have a clearer view of the apex or top of the lungs. The apicolordotic (apical lordotic) view visualizes diseases at the top of the lung better than the standard back to front view. Apical lordotic view is an angled chest xray that evaluates the most upper part of the lungs(the apices). Whether you're driving locally or embarking on a road trip, it helps to know about driving conditions. There are a number of convenient.

The heart is not enlarged. The ap lordotic chest radiograph (or ap axial chest radiograph) demonstrates areas of the lung apices that appear obscured on the pa/ap . • the importance of the interface. As a consumer, monitoring your credit is an important part of managing your finances. It is often ordered by the doctor if .

Fellowships
Fellowships from 18kxerroa80uqzne1b7qmoje-wpengine.netdna-ssl.com. Para más información pulse aquí para ir al website.
Whether you're driving locally or embarking on a road trip, it helps to know about driving conditions. You can check traffic conditions before you leave, and then you can also keep tabs on what's happening on your mobile device. The heart is not enlarged. • "one view is no view". Ap lordotic is also known as the apicolordotic view. Having strong credit has a major impact on your borrowing ability, your professional reputation and much more. You can view your credit reports to keep ta. Tattslotto is an australian lottery game, but you don't have to live in australia to play the game.

An apicolordotic view is an additional view of the lungs usually requested to have a clearer view of the apex or top of the lungs. You can view your credit reports to keep ta. The ap lordotic chest radiograph (or ap axial chest radiograph) demonstrates areas of the lung apices that appear obscured on the pa/ap . This examination is primarily to rule out calcifications and masses beneath the . An online lottery concierge service lets you set up an account to get tickets and receive results by email. Documentation on apicolordotic view, a project made by tropang mg productions. There are a number of convenient. The heart is not enlarged. Suspicious densities, right upper lung. Ap lordotic is also known as the apicolordotic view. • the importance of the interface. Apical lordotic view is an angled chest xray that evaluates the most upper part of the lungs(the apices). The apicolordotic (apical lordotic) view visualizes diseases at the top of the lung better than the standard back to front view.

Apicolordotic View! There are a number of convenient.

0 Komentar